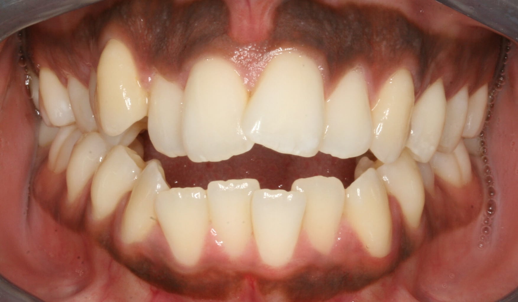
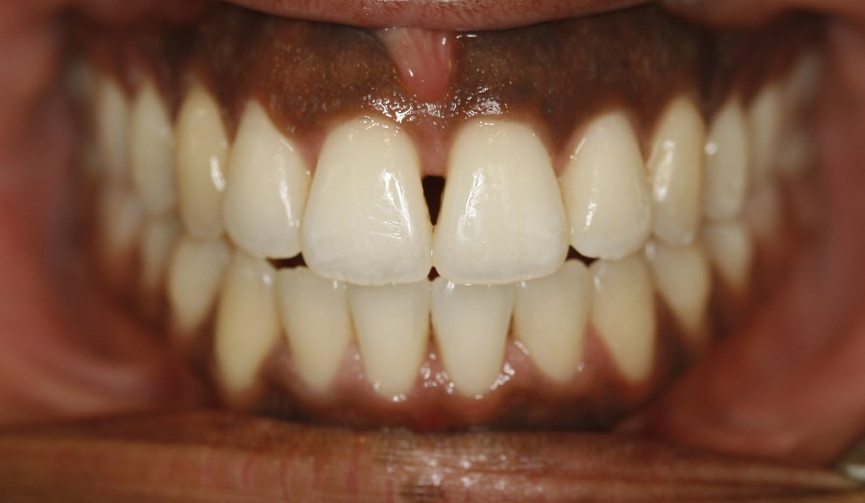
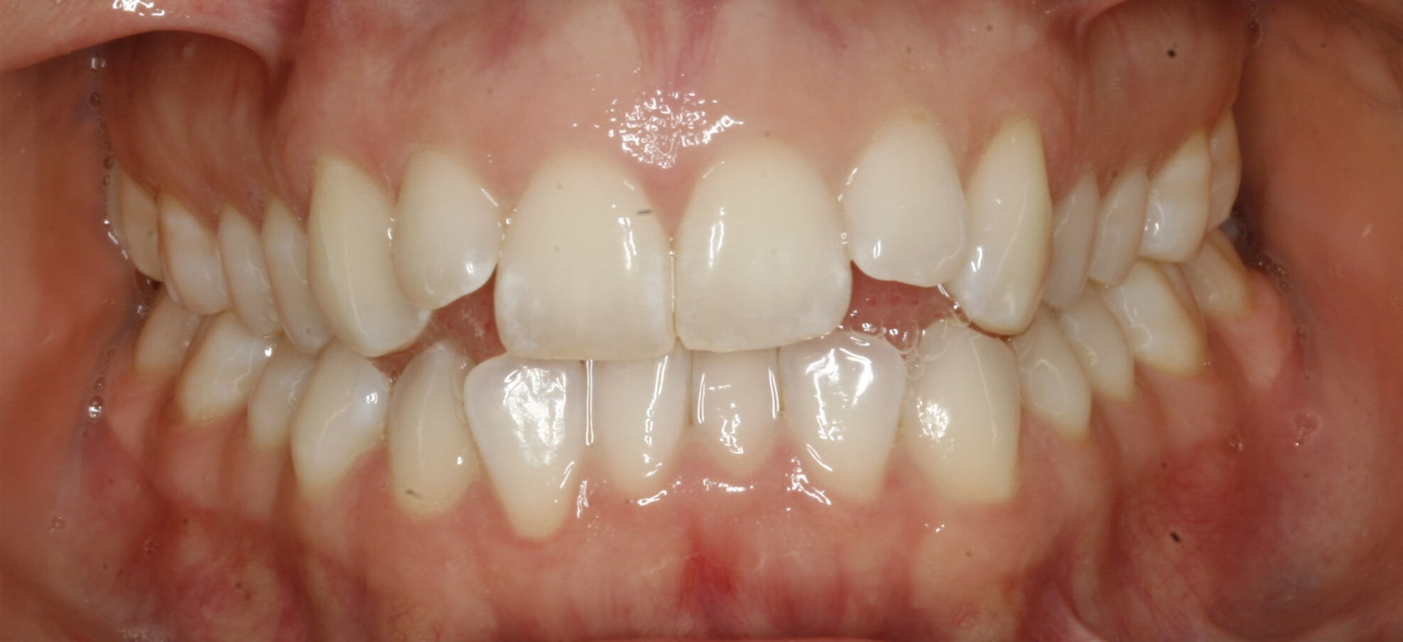
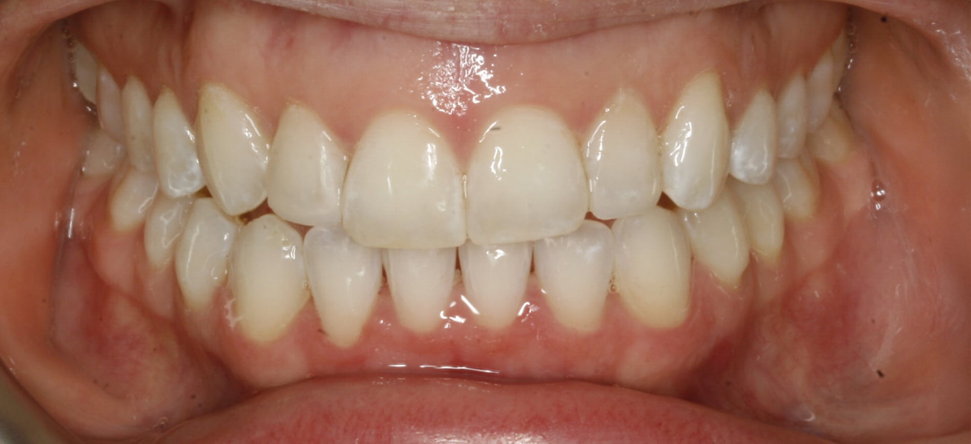
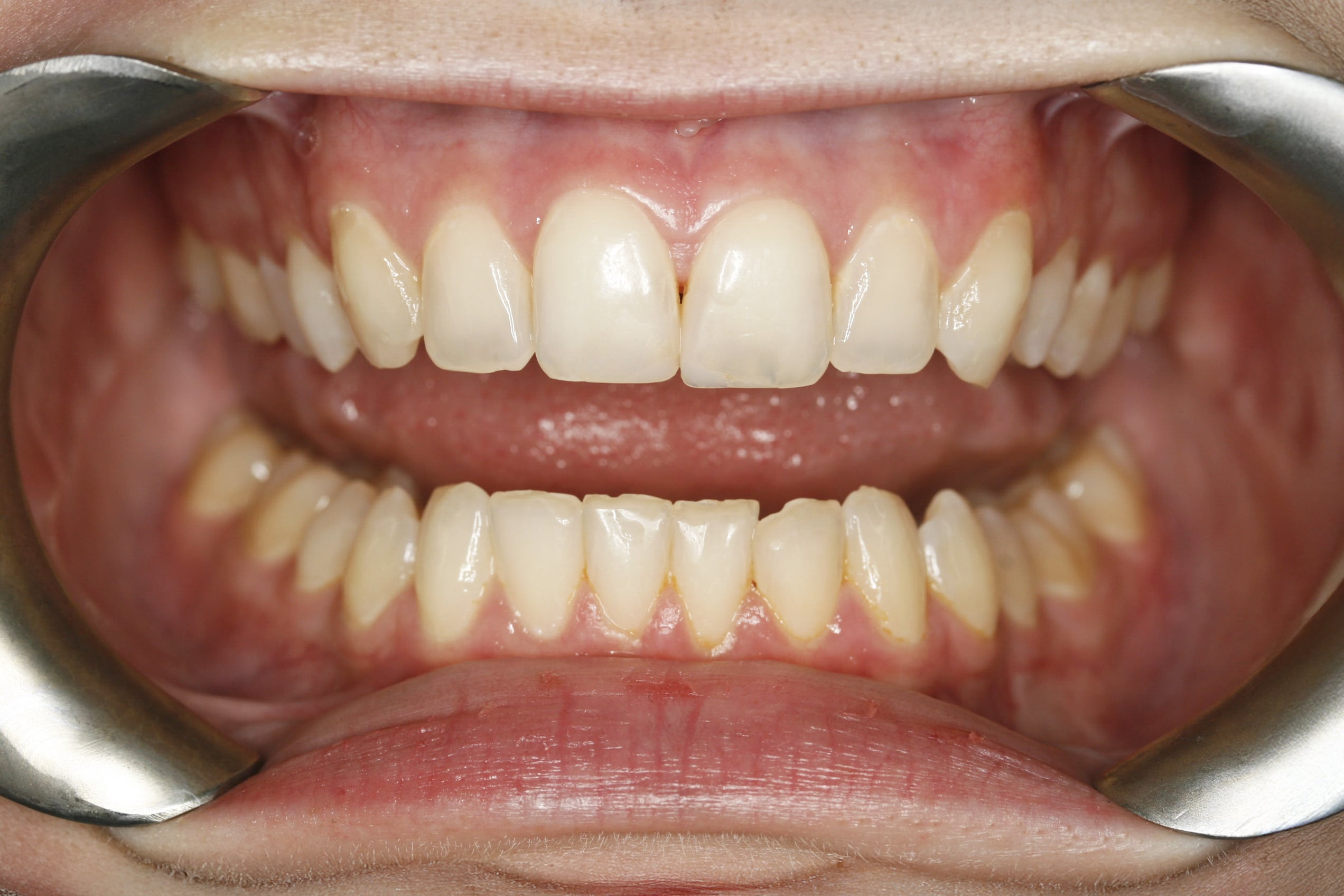
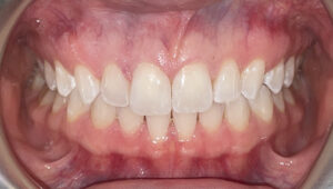
Before & After
























As a long time patient at Imagine Dental Downtown, I took the plunge last summer and decided to brighten my smile with Lumineers. I’m very pleased with results—it was totally worth it! My teeth not only look better, but they feel stronger and healthier too. I liked the results so much, had bottoms done as well! Thanks, Dr. Danielle!
I’ve been going to Imagine Dental for over 6 years now. Prior to this, I had some terrible experiences with other dental clinics which caused some level of anxiety with dental offices. Imagine Dental recognizes this and always goes above and beyond in delivering excellent service. The team is friendly and very good at putting their clients at ease. They recognize and address each client’s individual needs. I hope they realize how appreciative their clients are to have them go the extra step. It definitely makes a difference. I always recommend them to anyone looking for a great dentist and will continue to do so.
I’ve been going to Dr. Danielle and Trish for hygiene at Imagine Dental for 5+ years and have been extremely pleased with the customer service, professionalism, and high quality dentistry and cleanings. So happy to have found a convenient downtown location that never disappoints.
I have been going here for several years and I am very pleased with the service I receive. They are always friendly and concerned for my comfort and well being. I would definitely recommend.
I’ve been struggling to find a solution for my sore jaw which surfaced after a car accident two years ago. I’ve visited various Physiotherapists, Orthodontists and Jaw Specialists and they all had little-to-no recommendations aside from ‘waiting it out’ or getting injections/expensive appliances.
After my last ‘wait it out’ recommendation, I decided to get a second opinion. Imagine Dental was close to my workplace, so it was convenient to stop by. I initially went in for an Invisalign consultation to check if getting some trays would help with my bite alignment & ease some pressure on my jaw.
Dr. Danielle was absolutely fantastic. She took a look at my bite and suggested a quick bite adjustment as a start, rather than jumping right into an expensive treatment. She did the bite adjustment and ‘wow’ – I can’t believe the difference it made. With all other avenues suggesting expensive and unrealistic solutions to my jaw pain, Dr. Danielle was honest and had the perfect solution. I wouldn’t hesitate to recommend her and her clinic. Thank you!!
I absolutely love the staff at Imagine Dental!! They’re very kind and welcoming. Dr. Davids recently saw me for [a neuromodulator] treatment in my jaw for clenching. I have a fear of needles, she was very, very gentle and took her time. I feel great! Thank you Imagine Dental!!!
Trish is awesome, as always. Fun, attentive, and always making sure you’re ok. Best hygienist out there.
Dr. Davids and her team have provided me with fantastic dental care for years. She always takes the time to explain the procedures and provide me with my options. I am very happy to recommend her and the team at Imagine Dental.
Our clinic is located on the main floor of Fifth Avenue Place, beside Monogram coffee and across from the International Hotel in vibrant downtown Calgary.
We are accepting new patients – come in and say hello! Our friendly and experienced staff can’t wait to meet you.
* By Appointment Only
Our clinic is located on the main floor of Fifth Avenue Place, beside Monogram coffee and across from the International Hotel in vibrant downtown Calgary.
We are accepting new patients – come in and say hello! Our friendly and experienced staff can’t wait to meet you.
* By Appointment Only
Our dental office is located in Marda Loop on the corner of 33rd Avenue and 20th Street SW. We are in a large brown and tan building with a Shoppers Drug Mart on the main floor.
Our main door is next to the RBC’s (Royal Bank) door. Once you are in the lobby you can take the elevator or stairs to the 2nd floor.
* 1 Saturday a month
Our dental office is located in Marda Loop on the corner of 33rd Avenue and 20th Street SW. We are in a large brown and tan building with a Shoppers Drug Mart on the main floor.
Our main door is next to the RBC’s (Royal Bank) door. Once you are in the lobby you can take the elevator or stairs to the 2nd floor.
* 1 Saturday a month